Información exclusiva para profesionales de la salud
← Volver al número Ver PDF

Teratoma quístico en testículo fetal no descendido

Cystic teratoma in undescended fetal testicle.



RESUMEN

Antecedentes: Las neoplasias abdominales fetales son de baja incidencia: de 2 a 14 neonatos por cada 100,000 nacimientos vivos; la mayor parte de las veces son infradiagnosticadas.

Caso clínico: Recién nacido con un teratoma quístico en el testículo izquierdo detectado por ultrasonido. La resonancia magnética mostró una tumoración, sin datos de infiltración a las estructuras adyacentes, con concentraciones de alfafetoproteína posnatal de 41,650 ng/mL. Se decidió la intervención quirúrgica; se encontró una tumoración intraperitoneal ovoide de 5 x 4 cm de superficie lisa. El reporte definitivo de anatomía patológica evidenció un teratoma quístico, con necrosis isquémica hemorrágica. Los neonatólogos reportaron que el recién nacido permanecía con buena evolución clínica, por lo que se dio el alta del hospital al séptimo día posoperatorio.

Palabras clave: Neoplasias abdominales, recién nacidos, nacidos vivos, teratoma quístico, imágenes por resonancia magnética, alfa-fetoproteína, factores de riesgo, testículo fetal

ABSTRACT

Background: Fetal abdominal neoplasms are rare, occurring in 2 to 14 newborns per 100,000 live births, and are often underdiagnosed.

Clinical case: Newborn with a cystic teratoma in the left testicle detected by ultrasound. Magnetic resonance imaging showed a tumor, with no evidence of infiltration into adjacent structures, with postnatal alpha-fetoprotein levels of 41,650 ng/mL. Surgery was decided upon; an intraperitoneal ovoid tumor measuring 5 x 4 cm with a smooth surface was found. The final pathology report showed a cystic teratoma with hemorrhagic ischemic necrosis. Neonatologists reported that the newborn continued to progress well clinically and was discharged from the hospital on the seventh postoperative day.

Keywords: Abdominal neoplasms, Newborns, Live births, Cystic teratoma, Magnetic resonance imaging, Alpha-fetoprotein, Risk factors, Fetal testicle


ANTECEDENTES

Las neoplasias abdominales en el feto son de baja incidencia: de 2 a 14 neonatos por cada 100,000 nacimientos vivos y, quizá por ello, pocas veces diagnosticadas, ya sean: teratomas, nefronas congénitas, neuroblastomas, hepatoblastomas, quistes de colédoco o lesiones quísticas abdominales.1 El diagnóstico de cada una se establece mediante ecografía; el teratoma es el subtipo de detección más frecuente.1

La exploración ecográfica tradicional del abdomen del feto se lleva a cabo, de forma sistémica, en la ecografía de detección con tres cortes: perímetro abdominal en corte axial, corte axial de los riñones y cortes sagital y parasagital de las cúpulas diafragmáticas derecha e izquierda.2

El abdomen es uno de los sitios en donde con más frecuencia se localizan los tumores fetales, además del corazón, la cara y la región del cuello.3 El diagnóstico y tratamiento de las tumoraciones intraabdominales es complejo debido a la existencia de una amplia gama de posibles diagnósticos diferenciales y el curso variable durante el embarazo y el periodo neonatal.3 Sin embargo, el diagnóstico puede afinarse si se toman en cuenta las relaciones anatómicas del feto.3 El diagnóstico prenatal de las anomalías tumorales es impreciso y la predicción de la necesidad de intervenciones prenatales es pobre.3 En la práctica diaria, muchos tumores fetales son un hallazgos en el segundo y tercer trimestre del embarazo.3

En México se dispone de pocos registros de estos teratomas, en virtud del infradiagnóstico prenatal derivado del control prenatal inadecuado.4

CASO CLÍNICO

Paciente de 19 años, con menarquia a los 14 años, con ciclos de 28/8, inicio de la vida sexual activa a los 14 años, con tres parejas sexuales, dos embarazos y un aborto espontáneo; tabaquismo positivo de tres cigarros al día, alcoholismo positivo suspendido un año antes del embarazo, con un episodio de depresión tratada con terapia cognitivo conductual. Acudió a valoración a las 35 semanas de embarazo.

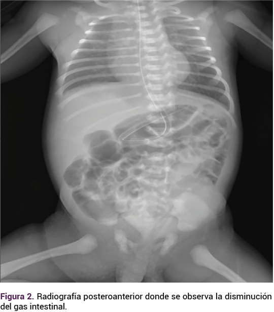
El ultrasonido obstétrico reportó: feto único, vivo, con frecuencia cardiaca de 135 lpm, peso estimado de 2767 g en el percentil 71, placenta fúndica grado II de Granum y líquido amniótico cualitativamente normal. Los genitales se advirtieron fenotípicamente masculinos, sin evidenciar el testículo derecho en la bolsa escrotal. La imagen ecogénica era mixta respecto de la ecogenicidad de los tejidos circundantes de 29 x 23 mm de una tumoración móvil adyacente al colon, cercana a la pared abdominal. La aplicación de Doppler color fue negativa, sin efecto de masa hacia otras estructuras abdominales, sin líquido libre o gas. El resto de la exploración transcurrió sin alteraciones. Figuras 1 y 2.

<strong>Figura 1</strong>
Figura 1.
<strong>Figura 2</strong>
Figura 2.

Ante las características ecográficas de la tumoración se decidió la conducta expectante, con seguimiento ecográfico. A las 37 semanas el feto continuaba con una frecuencia cardiaca de 140 lpm, peso de 3186 g, percentil 84, placenta fúndica, líquido amniótico cualitativamente normal. Sin embargo, con un aumento notable del tamaño de la tumoración intraabdominal, ahora 1 cm más grande, respecto del rastreo previo.

El embarazo finalizó mediante parto espóntaneo con un recién nacido de término, masculino, de 37 semanas por Capurro, placenta y membranas completas, con líquido amniótico de características normales, sin meconio, con talla de 50 cm, peso de 3300 g, Apgar 8-9 con permeabilidad nasal, ano y esófago, a la palpación abdominal con una tumoración de aproximadamente 7 x 5 cm fija, de consistencia dura, peristalsis normal, con el testículo izquierdo en la bolsa escrotal. A la palpación se evidenció la ausencia del testículo derecho en la bolsa escrotal. En la radiografía posteroanterior se observó la disminución del gas intestinal. Figura 3.

<strong>Figura 3</strong>
Figura 3.

Durante su estancia en la unidad de cuidados neonatales se practicó una resonancia magnética que evidenció la tumoración, sin datos de infiltración a las estructuras adyacentes, que desplaza al intestino. Figura 4.

<strong>Figura 4</strong>
Figura 4.

Las concentraciones de la alfafeoproteína sérica se reportaron en 41,650 ng/mL, posterior una nueva muestra sérica con valor de 32,396 ng/mL. Ese mismo marcador permaneció dos días después, mismo lapso en que se procedió a la laparotomía exploradora, en la que se encontró una tumoración intraperitoneal ovoide de 5 x 4 cm de superficie lisa, de coloración violácea oscura. Se practicaron la resección tumoral y la orquiectomía derecha. El reporte definitivo de anatomía patológica evidenció un teratoma quístico, con necrosis isquémica hemorrágica. Los neonatólogos reportaron que el recién nacido permanecía con buena evolución clínica, por lo que se dio el alta del hospital al séptimo día posoperatorio.

DISCUSIÓN

Los teratomas testiculares son tumoraciones derivadas de las células germinales que pueden derivar de una o más capas germinales (endodermo, mesodermo y ectodermo).5 Se dividen en: células germinales neoplásicas que afectan a otras germinales in situ; en este grupo, el subgrupo histológico más representativo es el seminoma y los no seminomas que abarcan al teratoma (tipo pospuberal), el carcinoma embrionario, el coriocarcinoma y los tumores del saco vitelino.5

La ecografía es el principal método diagnóstico para los teratomas testiculares, aunque su efectividad puede verse afectada por la variabilidad en la presentación clínica y la experiencia del operador, lo que puede llevar a un subdiagnóstico.4 En este caso resaltan varios puntos críticos, primero la importancia del seguimiento ecográfico detallado durante el embarazo, que puede facilitar intervenciones quirúrgicas oportunas y mejorar los desenlaces neonatales.6 De este caso puede interpretarse la necesidad del enfoque sistemático, con la incorporación de técnicas adicionales, como la resonancia magnética fetal, que se utiliza como técnica de imagen complementaria a la ecografía prenatal y ha sido validada en la investigación prenatal de las tumoraciones sólidas abdominales, anomalías del aparato gastrointestinal y genitourinario.7

En este caso la resonancia magnética se practicó en el periodo posnatal inmediato. Su protocolo debería incluir, siempre, secuencias potenciadas en T2, para la valoración de la anatomía, y también las potenciadas en T1.7 La resonancia magnética fetal no es de aplicación común para el tamizaje prenatal, aunque con el debido asesoramiento completo de la anatomía fetal su utilidad puede llegar a ser relevante.8 El diagnóstico prenatal puede ayudar en el asesoramiento y la planificación del parto en un entorno con acceso inmediato a la atención multidisciplinaria.8

En este contexto, la evaluación individualizada es fundamental, tomando en cuenta el tamaño y los marcadores tumorales, que ofrecen información valiosa referente al potencial de malignidad.8 El reporte de un caso en Israel, de un teratoma bilateral fetal en una paciente primigesta en el segundo trimestre del embarazo, reveló dos tumoraciones escrotales bilaterales, muy semejante a lo sucedido en el caso aquí reportado, en donde el embarazo finalizó mediante parto, sin complicaciones, y con la intervención quirúrgica necesaria en el periodo posnatal.9

En otro reporte de caso, de un feto con diagnóstico a las 23 semanas de gestación, el ultrasonido prenatal subsecuente mostró una tumoración calcificada heterogénea, próxima al anillo inguinal interno izquierdo, con sombra acústica posterior y ausencia del flujo vascular.10 Al igual que este caso, existía torsión testicular prenatal que se sospechó debido a las calcificaciones distróficas y el pigmento de hemosiderina.10 Sin embargo, otros han encontrado que éste es el tipo tumoral neonatal testicular más frecuente (83%) en los testículos intraabdominales pediátricos.11

Las concentraciones elevadas posnatales de alfa-fetoproteína sugirieron la existencia de un tumor potencial, hecho que justificó la intervención quirúrgica.11 Gran parte de los teratomas testiculares son benignos, por lo que excluir neoplasias malignas es determinante.11 Se resalta la importancia de la identificación de los factores de riesgo de criptorquidia, que fue el dato más relevante del caso aquí comunicado, así como en reportes de casos anteriores.12

El antecedente de criptorquidismo se ha asociado con un riesgo de malignidad 3 a 8 veces mayor que en la población general.12 Además, es decisivo desarrollar un algoritmo diagnóstico y de tratamiento que facilite la atención multidisciplinaria oportuna de pacientes con neoplasias abdominales.12 Este algoritmo podría incluir pautas para la identificación temprana de factores de riesgo, la aplicación de técnicas de imagen y la coordinación de cuidados entre especialistas.12

Los factores de riesgo identificados que predisponen a la aparición de un tumor de células germinales incluyen: los antecedentes de un tumor testicular, familiares, criptorquidia, disgenesia testicular y síndrome de Klinefelter.13 Las estadísticas reportan que, aproximadamente, el 90% de los pacientes con diagnóstico de tumor de células germinales pueden curarse; sin embargo, el retraso en el diagnóstico se correlaciona con una etapa clínica más avanzada y con un pronóstico desfavorable.13,14

El enfoque multidisciplinario es fundamental no solo para el diagnóstico y tratamiento de pacientes con teratomas testiculares, sino para educar a los futuros padres acerca de las implicaciones de estas enfermedades.14 La falta de acceso a un control prenatal adecuado en algunas regiones de México resalta la urgencia de implementar políticas de salud pública que mejoren el acceso a la atención prenatal y a la educación en salud fetal.14 Este caso destaca la importancia del diagnóstico prenatal preciso y la atención multidisciplinaria oportuna de pacientes con neoplasias abdominales.14

CONCLUSIÓN

Las neoplasias abdominales fetales, poco frecuentes, plantean un desafío en la práctica clínica debido a su baja incidencia y al riesgo de infradiagnóstico. La ecografía es el método principal para el diagnóstico prenatal, aunque con eficacia limitada debida a la variabilidad en la presentación clínica y la experiencia del operador. El caso aquí reportado destaca la necesidad del seguimiento ecográfico cuidadoso y la importancia de una intervención oportuna. La atención médica de pacientes con estas neoplasias requiere un enfoque multidisciplinario e individualizado, tomando en consideración los factores de riesgo y las características específicas de cada paciente. Es relevante fomentar una mayor conciencia y mejorar el diagnóstico prenatal para optimizar la atención de pacientes con neoplasias abdominales fetales y garantizar un cuidado de calidad a las familias afectadas. Solo a través de un esfuerzo conjunto y sistemático podrán mejorarse los desenlaces clínicos y el bienestar de los neonatos.

Referencias

  1. Cass DL. Fetal abdominal tumors and cysts. Transl Pediatr 2021; 10 (5): 1530-41. https://doi.org/10.21037/tp-20-440.
  2. Youssef A, Salsi G, Curti A. Prenatal ultrasonographic features of mature cystic teratoma in undescended testicle. Ultrasound Obstet Gynecol 2016; 47: 527-29. https://doi.org/10.1002/uog.15769
  3. Ozkose ZG, Caypinar S. Predictive value of prenatal ultrasound in fetal intraabdominal cystic lesions and evaluation of perinatal outcomes: a single-centre study results. J Obstet Gynaecol 2022; 42 (7): 2659-64. https://doi.org/10.1080/01443615.2022.2081791
  4. Amari F, Beyer DA, Diedrich K. Fetal intra-abdominal tumors: assessment of spectrum, accuracy of prenatal diagnosis, perinatal outcome and therapy at a tertiary referral center. Eur J Obstet Gynecol Reprod Biol 2013; 167 (2): 160-6. https://doi.org/10.1016/j.ejogrb.2012.11.023.
  5. Batool A, Karimi N, Wu XN, Chen SR, et al. Testicular germ cell tumor: a comprehensive review. Cell Mol Life Sci 2019; 76 (9): 1713-27. https://doi.org/10.1007/s00018-019-03022-7
  6. Farci F, Shamsudeen S. Testicular teratoma. In: StatPearls. https://www.ncbi.nlm.nih.gov/books/NBK567728/
  7. Llorens-Salvador R, Viegas-Sainz A, Veiga-Canuto R. Resonancia magnética fetal en patología abdominal. Radiología 2024. https://doi.org/10.1016/j.rx.2024.05.001. (https://www.sciencedirect.com/science/article/pii/S0033833824000730)
  8. Davidson JR, Uus A, Matthew J. Fetal body MRI and its application to fetal and neonatal treatment: an illustrative review. Lancet Child Adolesc Health 2021; 5 (6): 447-58. https://pmc.ncbi.nlm.nih.gov/articles/PMC7614154/
  9. Khatib N, Goldstein I, Vitner D. Prenatal diagnosis of scrotal-inguinal hernia: two case reports and review of the English literature. Eur J Obstet Gynecol Reprod Biol 2013; 171 (1): 9-11. https://doi.org/10.1016/j.ejogrb.2013.07.0
  10. Janda GM, Najdzionek JS, Kozielski R. Early prenatal detection of an intra-abdominal cryptorchid testicular teratoma. Urology 2014; 83 (1): 214-6. https://doi.org/10.1016/j.urology.2013.08.013.
  11. Qingxiong Y, Yujia S, Yan L, et al. Fetal testicular teratoma: report of a prenatally undiagnosed case and literature review. February 2023. https://doi.org/10.21203/rs.3.rs-2496172/v1
  12. Sangüesa C, Veiga D, Llavador M. Testicular tumours in children: an approach to diagnosis and management with pathologic correlation. Insights Imaging 2020; 11 (1): 74. https://doi.org/10.1186/s13244-020-00867-6.
  13. Karmazyn B, Weatherly DL, Lehnert SJ. Characteristics of testicular tumors in prepubertal children (age 5-12 years). J Pediatr Urol 2018; 14 (3): 259.e1-259.e6. https://doi.org/10.1016/j.jpurol.2018.01.013
  14. Matabuena-Tamez P, Canepa-Fernández P, Valencia-García LC. Bilateral and synchronous testicular teratoma: a case report and literature review. Cir Cir 2015; 83 (6): 527-31. https://doi.org/10.1016/j.circen.2015.11.011
Enviar un comentario

Te puede interesar