Información exclusiva para profesionales de la salud
← Volver al número Ver PDF

Tuberculosis ovárica y peritoneal que simula cáncer de ovario metastásico

Ovarian and peritoneal tuberculosis mimicking metastatic ovarian cancer.



RESUMEN

Antecedentes: La tuberculosis de ovario es una forma infrecuente de tuberculosis genitourinaria y un reto diagnóstico por sus manifestaciones clínicas y radiológicas que pueden semejar a las de un tumor anexial.

Caso clínico: Paciente de 26 años, con antecedente de consumo de leche no pasteurizada y carne de vaca. Inició con un cuadro de dos meses de evolución con aumento del perímetro abdominal, con dolor, ascitis, tos expectorante y náuseas. En los estudios clínicos y de laboratorio se encontraron datos sugerentes de carcinoma de ovario y en la laparoscopia, con toma de biopsia, de tuberculosis.

Conclusión: La tuberculosis ovárica es un reto diagnóstico por su similitud clínica, de laboratorio e imagen, con el carcinoma de ovario. El caso aquí reportado resalta la importancia de considerar a la tuberculosis en el diagnóstico diferencial de los tumores anexiales, sobre todo en pacientes con factores de riesgo epidemiológico e inherentes a los propios pacientes, en virtud de la persistencia como problema de salud pública en México y el mundo.

Palabras clave: Tuberculosis ovárica, Mycobacterium bovis, cáncer, metástasis, peritoneo

ABSTRACT

Background: Ovarian tuberculosis is a rare form of genitourinary tuberculosis. It is a diagnostic challenge due to its clinical and radiological manifestations, which can resemble those of an adnexal tumor.

Clinical case: A 26-year-old female patient had a history of consuming unpasteurized milk and beef. She presented with a two-month history of abdominal enlargement, pain, ascites, a productive cough, and nausea. Initial clinical and laboratory studies suggested ovarian carcinoma, but a laparoscopy with biopsy revealed tuberculosis.

Conclusion: Ovarian tuberculosis poses a diagnostic challenge due to its clinical, laboratory, and imaging similarities to ovarian carcinoma. This case highlights the importance of considering tuberculosis in the differential diagnosis of adnexal tumors, particularly in patients with epidemiological and inherent risk factors. This is especially important given the persistence of tuberculosis as a public health problem in Mexico and worldwide.

Keywords: Ovarian tuberculosis, Mycobacterium bovis, Cancer, Metastasis, Peritoneum


ANTECEDENTES

En México, la infección por tuberculosis es un problema de salud pública por su capacidad de trasmisibilidad, cronicidad, morbilidad y mortalidad.1 A pesar de ser una enfermedad susceptible de prevención y curación, sigue siendo una de las principales causas de enfermedad y muerte en México y en muchos países más.2 Entre sus manifestaciones extrapulmonares, la genitourinaria es una de las más frecuentes, que afecta a pacientes inmunocompetentes e inmunodeprimidos. Los órganos más afectados son los riñones, la vejiga, el ovario, el útero y los testículos. Su principal forma de diseminación es hematógena, de focos primarios en el pulmón o la vía digestiva.3

La tuberculosis ovárica es una manifestación poco común de la tuberculosis genitourinaria que, quizá por ello, es un desafío diagnóstico debido a su similitud clínica, de laboratorio e imagenológica con el carcinoma de ovario. Por ello, para su confirmación, siempre es necesario el estudio histopatológico.4

El tratamiento oportuno es decisivo para la curación de la enfermedad y se administra a través del programa de tratamiento acortado estrictamente supervisado (TAES) en unidades de primer nivel de atención. Por ello, es esencial mantener una comunicación estrecha entre los diferentes niveles de atención médica para garantizar la atención integral y eficaz de los casos.5

CASO CLÍNICO

Paciente de 26 años, con antecedentes de un embarazo y una cesárea, indicada por preeclampsia sin criterios de severidad, citología reciente negativa a malignidad, consumo de anticonceptivos orales combinados en los últimos tres meses. En septiembre del 2022 acudió a su unidad de atención primaria, referida del tercer nivel para inicio del tratamiento antituberculoso. Un año antes había concurrido a una comunidad rural en donde ingirió leche no pasteurizada y carne de vaca. Convivía con su madre, diagnosticada con tuberculosis de piel.

El padecimiento actual se inició con distensión abdominal, dolor en el mesogastrio 5/10 en escala de EVA, náuseas ocasionales llegando al vómito de contenido gastroalimentario, pérdida no intencionada de 5 kg en 1 mes y tos expectorante no disneizante, no cianozante en ese mismo lapso. El médico que la atendió inicialmente le indicó un tratamiento, no especificado, por sospecha de síndrome de intestino irritable.

En los meses siguientes tuvo aumento del perímetro abdominal, salida de líquido de características citrinas desde la cicatriz umbilical, astenia y adinamia. El ultrasonido abdominal, practicado en un servicio privado, reportó hepatopatía difusa compatible con fibrosis, sin datos de colecistitis, con líquido en la cavidad abdominal. La paracentesis diagnóstica y terapéutica resultó con drenaje de 500 cc de líquido ascítico, con características citrinas, con cultivo negativo, citológico, con hiperplasia de células mesoteliales, con cambios reactivos, sin células neoplásicas (Figura 1).

<strong>Figura 1</strong>
Figura 1.

La biometría hemática, las pruebas de función hepática y la química sanguínea se reportaron sin alteraciones. La tomografía simple y contrastada de abdomen demostró lesiones ocupantes de espacio en ambos ovarios que sugerían un posible cistoadenocarcinoma, con líquido peritoneal supra e inframesocólico con reforzamiento periférico y adenomegalias pélvicas y retroperitoneales sospechosas. No se delimitaron lesiones hepáticas. Los marcadores tumorales reportaron alteración en CA-125 de 628.9 U/mL (valor normal inferior a 35 U/mL), alfafetoproteína 2.03 U/L (menor de 25 U/L) y antígeno carcinoembrionario 0.56 ng/mL (menos de 5 ng/mL).

Por los datos encontrados, la paciente se envió al servicio de Ginecología oncológica donde se le practicó la toma de biopsia de implantes peritoneales por laparoscopia, con reporte de histopatología de peritonitis granulomatosa, de probable causa por micobacterias. Los estudios de PCR, GeneXpert y baciloscopia resultaron negativos. El Quantiferon TbGold plus salió positivo. Ante los nuevos hallazgos, sugerentes de probable tuberculosis ovárica, se refirió a su centro de salud de atención primaria para inicio del tratamiento antituberculoso.

En la valoración en el centro de salud la paciente se encontró con palidez de piel y mucosas y el tórax sin alteraciones. En la revisión se encontró una tumoración de 6 x 3 cm en la fosa iliaca izquierda, dolorosa a la palpación. La biometría hemática reportó: linfopenia, leucocitos 5.7, hemoglobina 15 g/dL, plaquetas 378000, proteína C reactiva en 24 mg/dL (normal menos de 0.3 mg/dL), marcadores tumorales elevados el CA-125 en 324.8 U/mL (valor normal inferior a 35 U/mL).

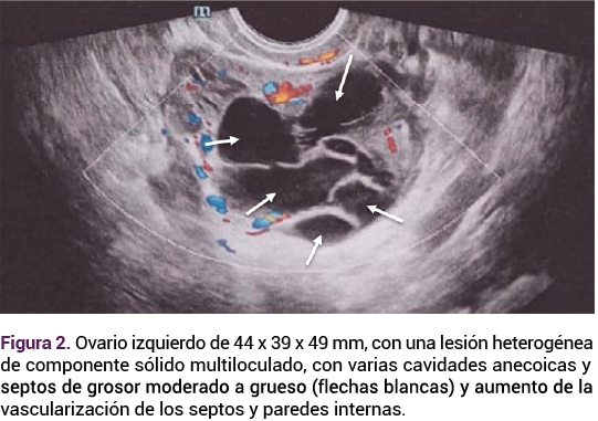
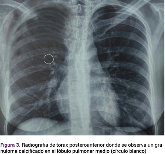
En el ultrasonido transvaginal el ovario izquierdo se observó aumentado de tamaño, con varias cavidades anecoicas y septos de grosor moderado a grueso, volumen de 45.9 cc. Al Doppler color, con evidente vascularización en los septos y paredes internas, con flujo de moderada a alta resistencia, clasificación O-RADS 4 con riesgo intermedio de malignidad (Figura 2). El ovario derecho mostró una imagen quística, con centro sólido en su interior, volumen de 28.1 cc. Serología de VIH, sífilis y hepatitis B y C negativas. La radiografía de tórax con granuloma pulmonar calcificado de 5 mm en el lóbulo pulmonar medio derecho. Figura 3

<strong>Figura 2</strong>
Figura 2.
<strong>Figura 3</strong>
Figura 3.

Ante esos hallazgos se confirmó la infección por micobacterias y se inició el tratamiento antituberculoso con rifampicina, isoniazida, pirazinamida y etambutol 4 tabletas cada 24 horas de lunes a sábado durante dos meses. El cultivo posterior reportó el crecimiento de Mycobacterium bovis resistente a pirazinamida; se ajustó el tratamiento de tres a seis meses con isoniazida y rifampicina, dos tabletas lunes, miércoles y viernes, con un total de 9 meses de tratamiento. Los síntomas desaparecieron y las lesiones peritoneales y ováricas continuaron en controles tomográficos.

DISCUSIÓN

La OMS estima que un tercio de la población está infectada por la tuberculosis. En México, cada año se reportan más de 19,000 casos en todas sus formas, con predominio de la localización pulmonar en un 80% y 2000 defunciones. Se trata de una enfermedad susceptible de diagnóstico y prevención.1,2

El cáncer de ovario es otro problema de salud pública debido a su alta mortalidad por los síntomas inespecíficos y la identificación de la enfermedad en etapa clínica avanzada, lo que le confiere un mal pronóstico.3 En México, el carcinoma de ovario ocupa el tercer lugar en mortalidad por cáncer ginecológico debido al inicio insidioso de las manifestaciones clínicas que dan pauta a un diagnóstico tardío e identificación de la enfermedad en estadios avanzados.4,5

El agente etiológico es el complejo Mycobacterium tuberculosis que engloba M. tuberculosis, M. bovis y M. africanum.6 Se trata de un bacilo aerobio estricto, alcohol-resistente, de 1 a 4 micras de tamaño, de crecimiento lento, por lo que necesita medios especiales para su cultivo.7 En la paciente del caso el agente etiológico identificado fue Mycobacterium bovis, con capacidad para infectar al ganado, animales domésticos y al ser humano; su transmisión entre personas se debe a la leche y productos derivados del ganado bovino.8

Las formas extrapulmonares de la tuberculosis van, de acuerdo con su frecuencia, en: ganglionar (40 %), ósea (11 %), genitourinaria (6.5 %), meníngea (6 %), intestinal (5 %), cutánea (3 %) y ocular (1 %).3 Entre las formas genitourinarias, el bacilo de la tuberculosis afecta al ovario en el 20% de los casos.10 La infección se produce, en la mayoría de los casos, por inhalación de bacilos de la micobacteria de una persona con infección activa, o por vía intestinal por ingesta de leche no pasteurizada.11,12

La tuberculosis ovárica es una forma poco frecuente de manifestación de tuberculosis extrapulmonar, casi siempre originada por reactivación o diseminación de forma hematógena de un sitio extra genital, que puede ocurrir sin evidencia clínica o infección en ese sitio.13 La paciente del caso tenía antecedente de tuberculosis pulmonar activa, debido a un granuloma calcificado advertido en la radiografía de tórax que sugirió una infección previa o latente.14

El cáncer de ovario consiste en un grupo de varios tipos histológicos, grados y características moleculares.15 Se clasifica en: seroso, endometroide, mucinoso y de células claras, cada uno con diferente comportamiento clínico, tratamiento y pronóstico.16

Los factores de riesgo de cáncer de ovario incluyen: antecedentes familiares de la enfermedad, sobre todo en el contexto de síndromes genéticos asociados, con mayor prevalencia en mujeres de ascendencia judía.17 Algunos otros factores de riesgo: menarquia temprana, tratamientos con estrógenos, endometriosis y nuliparidad.18,19

La tuberculosis de ovario es más frecuente en mujeres con inmunosupresión, ingesta de productos lácteos no pasteurizados, contacto con ganado infectado y antecedente de tuberculosis pulmonar.20 La paciente del caso reunía múltiples factores de riesgo de exposición a la tuberculosis, pero su perfil de riesgo para cáncer de ovario era mínimo.21

Las pruebas de imagen son métodos diagnósticos no invasivos que pueden dar un alto índice de sospecha diagnóstica.22 La sensibilidad del ultrasonido transvaginal en la evaluación de masas anexiales es del 86 %, con una especificidad del 91%.23

La tomografía abdominopélvica es útil en la detección de tumores ováricos, donde pueden observarse datos de carcinomatosis peritoneal, ascitis, tumores ováricos y linfadenopatías, con una sensibilidad del 90% y especificidad del 75%.24

La utilidad del CA-125 en el diagnóstico de tuberculosis ovárica no ha sido estandarizada.25 Un estudio no encontró diferencias significativas en su elevación en pacientes con tuberculosis de ovario y cáncer de ovario; sin embargo, si existió una elevación mayor en la cohorte de pacientes con carcinoma de ovario.26 La paciente del caso tuvo concentraciones elevadas de CA-125 hasta en más de 10 veces el límite superior del valor de referencia.27

CONCLUSIÓN

La tuberculosis ovárica es un reto diagnóstico por su similitud clínica, de laboratorio e imagen con el carcinoma de ovario. El caso aquí reportado resalta la importancia de considerar a la tuberculosis en el diagnóstico diferencial de los tumores anexiales, sobre todo en pacientes con factores de riesgo epidemiológico e inherentes a los propios pacientes, en virtud de la persistencia como problema de salud pública en México y el mundo.

Referencias

  1. 1. Secretaría de Salud (SSA), Centro Nacional de Programas Preventivos y Control de Enfermedades (CENAPRECE). Situación actual de la Tuberculosis en México, 2019. SSA, CENAPRECE; 2020. https://www.gob.mx/salud/cenaprece
  2. 2. Castellanos-Joya M. Situación actual de la tuberculosis en México. Anuarios de Mortalidad 1990-2013. Secretaría de Salud, Dirección General de Epidemiología; 2014.
  3. 3. Amado-Garzon S, Moreno-Mercado S, Martínez-Vernaza S, et al. Tuberculosis extrapulmonar, un reto clínico vigente. Univ Med 2020; 61 (4). https://doi.org/10.11144/Javeriana.umed61-4.reto
  4. 4. Saini A, Yadav G, Gothwal M, et al. Tuberculosis and ovarian malignancy: Sometimes mimics, sometimes coexists. J Obstet Gynaecol Res 2020; 46 (6): 945-49. https://doi.org/10.1111/jog.14223.
  5. 5. Martínez-Medina MA. Efecto del tratamiento acortado estrictamente supervisado (TAES) sobre la adherencia y la tasa de curación de la tuberculosis pulmonar. Gac Med Mex 2004; 140 (1): 1-6.
  6. 6. Penny SM. Ovarian cancer: An overview. Radiol Technol 2020; 91 (6): 561-75. PMID: 32606233
  7. 7. Secretaría de Salud. Cáncer de ovario, tercera causa de fallecimiento por tumor en mujeres. Gobierno de México; 8 de mayo de 2022.
  8. 8. Natarajan A, Beena PM, Devnikar AV, et al. A systemic review on tuberculosis. Indian J Tuberc 2020; 67 (3): 295-311. https://doi.org/10.1016/j.ijtb.2020.02.005
  9. 9. World Health Organization. The END TB strategy. Global strategy and targets for tuberculosis prevention, care and control after 2015. WHO; 2016. https://www.who.int/tb/strategy/End_TB_Strategy.pdf?ua=1
  10. 10. Feng Q, Hu X, Zhao J, et al. Female genital tuberculosis presented with primary infertility and persistent CA-125 elevation: A case report. Ann Med Surg (Lond) 2022; 78: 103683. https://doi.org/10.1016/j.amsu.2022.103683
  11. 11. Javed S, Noor N, Zubair M, et al. Genital tuberculosis mimicking carcinoma ovary: Can ultrasound-guided biopsy be a resolution? J Ayub Med Coll Abbottabad 2017; 29 (3): 496-98. PMID: 29076692
  12. 12. Sharma JB, Khurana A, Hari S, et al. Evaluation of role of transabdominal and transvaginal ultrasound in diagnosis of female genital tuberculosis. J Hum Reprod Sci 2021; 14 (3): 250-59. https://doi.org/10.4103/jhrs.jhrs_161_20
Enviar un comentario

Te puede interesar