Información exclusiva para profesionales de la salud
← Volver al número Ver PDF

Embarazo en paciente con síndrome de OHVIRA

Pregnancy in a patient with OHVIRA syndrome.



RESUMEN

Antecedentes: El síndrome de OHVIRA (Obstructed Hemivagina and Ipsilateral Renal Anomaly) o síndrome de Herlyn-Werner-Wunderlich es una malformación congénita de muy baja frecuencia que resulta de una falla en la fusión de los conductos müllerianos durante el desarrollo embrionario. Se caracteriza por útero didelfo, hemivagina obstruida y agenesia renal ipsilateral. Su reconocimiento temprano es de suma importancia debido a que el retraso en el diagnóstico puede derivar en endometriosis e infecciones graves.

Caso clínico: Paciente de 33 años, con antecedente de dos embarazos y un aborto. Aun a pesar de la infertilidad primaria logró un embarazo espontáneo, incluso con el diagnóstico de síndrome de OHVIRA. Durante la evolución del embarazo requirió hospitalización por piocolpos, que se trató con drenaje y antibiótico, además de infecciones urinarias de repetición. El embarazo finalizó mediante cesárea a las 38.2 semanas, cursó con atonía uterina transitoria que remitió con tratamiento médico. En virtud de la buena evolución la paciente se dio de alta del hospital, sin complicaciones.

Conclusión: Las pacientes con síndrome de OHVIRA pueden tener embarazos a término aunque ello plantee un reto en el seguimiento, como las infecciones de vías urinarias de repetición y el piocolpos que, de no tratarse adecuadamente, pueden conducir al nacimiento pretérmino, infección intraamniótica, sepsis y morbilidad materno fetal aguda.

Palabras clave: Útero didelfo, síndrome de Herlyn Werner Wunderlich, hemivagina obstruida

ABSTRACT

Background: OHVIRA (obstructed hemivagina and ipsilateral renal anomaly) syndrome, also known as Herlyn-Werner-Wunderlich syndrome, is a rare congenital malformation resulting from a failure of the Müllerian ducts to fuse during embryonic development. It is characterized by a didelphic uterus, obstructed hemivagina, and ipsilateral renal agenesis. Early recognition is crucial because delayed diagnosis can lead to endometriosis and serious infections.

Clinical case: A 33-year-old patient with a history of two pregnancies and one miscarriage. Despite being infertile, she achieved a spontaneous pregnancy with a diagnosis of OHVIRA syndrome. During the pregnancy, she was hospitalized for pyometra, which was treated with drainage and antibiotics, as well as for recurrent urinary tract infections. The pregnancy ended with a cesarean section at 38.2 weeks due to transient uterine atony, which resolved with medical treatment. Due to her progress, the patient was discharged from the hospital without complications.

Conclusion: Patients with OHVIRA syndrome can have full-term pregnancies. However, this poses challenges in terms of follow-up care, such as recurrent urinary tract infections and pyocele. If these conditions are not treated properly, they can lead to preterm birth, intra-amniotic infection, sepsis, and acute maternal-fetal morbidity.

Keywords: Uterine Didelphys, Herlyn-Werner-Wunderlich syndrome, Obstructed hemivagina


ANTECEDENTES

El síndrome de OHVIRA (Obstructed Hemivagina and Ipsilateral Renal Anomaly) es una anomalía mülleriana inducida por un daño en la porción caudal del conducto de Wolff ipsilateral que puede resultar en: útero didelfo, hemivagina obstruida y agenesia renal ipsilateral.1,2 La detección temprana es importante para limitar o evitar las complicaciones asociadas de: endometriosis, piocolpos, piometra, piosalpinx, adherencias y futuros problemas de fertilidad.3 La incidencia del útero didelfo es de, aproximadamente, 1 caso en 2000 a 28,000 nacimientos, que se acompaña de agenesia renal unilateral en el 43% de los casos. La incidencia de esta última es de 1 a 3 casos por cada 1000 nacimientos y entre el 25% y el 50% de las mujeres afectadas tienen anomalías genitales asociadas.3

Los síntomas aparecen después de la menarquia, con dolor pélvico de intensidad en aumento y recurrente. El hematocolpos puede detectarse como una tumoración pélvica palpable, secundaria a la retención de la menstruación en una hemivagina obstruida.3 El diagnóstico y el tratamiento temprano son decisivos para prevenir complicaciones y preservar la fertilidad futura.

CASO CLÍNICO

Paciente de 33 años, con menarquia a los 12 años, ciclos menstruales regulares de 28 x 4 días, eumenorréica. Inició la vida sexual activa a los 22 años; dos embarazos y un legrado uterino instrumentado debido a un embarazo anembriónico. La última citología cervicovaginal se reportó negativa a malignidad. En seguimiento ginecológico desde el año 2014 por antecedente de infertilidad primaria.

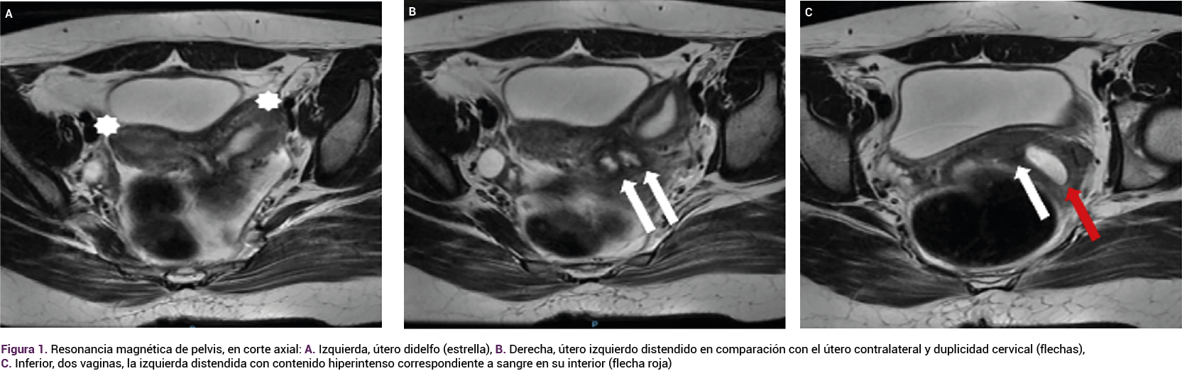
Gracias al protocolo institucional de estudio de la infertilidad, la paciente logró el embarazo espontáneo que culminó en anembriónico. Con ultrasonido endovaginal se diagnosticó la alteración mülleriana y una vez resuelta con legrado uterino instrumentado se envió a la consulta especializada en fertilidad. El hallazgo de la resonancia fue el útero didelfo con vagina doble y hematocolpos izquierdo. Figura 1

<strong>Figura 1</strong>
Figura 1.

Sin concluir el protocolo de estudio (6 años después de su primer contacto) regresó con un embarazo espontáneo de 7.3 semanas de gestación para inicio de control prenatal. Durante la revisión del expediente electrónico se evidenciaron los antecedentes mencionados y la paciente informó el antecedente de infección de vías urinarias de repetición, así como la revisión por un urólogo quien le diagnosticó la ausencia del riñón izquierdo corroborado por medio de la TAC. Figura 2

<strong>Figura 2</strong>
Figura 2.

En el transcurso del control prenatal la paciente refirió flujo vaginal; en el tacto se palpó, en el fondo de saco lateral izquierdo, aumento de volumen, con presión y drenaje espontáneo de aproximadamente 20 mL de líquido fétido, verdoso. En la especuloscopia se corroboró que la secreción provenía de una aparente comunicación con la vagina izquierda, previamente obstruida. Se hospitalizó para la administración del tratamiento con antibiótico y practicar estudios de extensión. Figura 3

<strong>Figura 3</strong>
Figura 3.

Durante la hospitalización no se registraron alteraciones en los estudios de laboratorio de fase aguda que indicaran un proceso infeccioso sistémico; sin embargo, por las características de la secreción, se indicó un esquema antibiótico doble de amplio espectro, con adecuada evolución clínica que ameritó el alta del hospital. El control prenatal continuó en la consulta externa de obstetricia, donde se solicitó otra resonancia magnética de control para valoración de la colección derecha; el estudio reportó la ausencia de colección aparente en la vagina izquierda. Figura 4

<strong>Figura 4</strong>
Figura 4.

La paciente continuó en vigilancia en el servicio de ginecología y obstetricia, con embarazo de evolución normal hasta las 38.2 semanas, cuando se internó para la finalización, que fue mediante cesárea tipo Kerr con los siguientes hallazgos: útero didelfo, útero derecho gestante, recién nacida femenina de 2935 g, Apgar 8-9, talla 50.5 centímetros; se complicó con inversión uterina parcial y atonía uterina transitoria que remitió enseguida de la administración de ergometrina. La evolución posquirúrgica del puerperio fue adecuada, por lo que se dio de alta del hospital a las 48 horas. En la actualidad permanece en vigilancia, asintomática y con profilaxis para infección urinaria.

DISCUSIÓN

La causa del síndrome OHVIRA (Obstructed Hemivagina and Ipsilateral Renal Anomaly) aún no se comprende del todo pero se cree se debe a múltiples factores: genéticos (sin identificar alguna mutación singular), ambientales y endocrinos.1 Esta triada, descrita en 1922, se reconoció con el término “Herlyn-Werner-Wunderlich” acuñado en 1979,1 para definir la anomalía de la tríada en un informe de cuatro casos de anomalías urogenitales, que en común tenían útero doble, quiste paracervical y aplasia ipsilateral renal.4 En 2007, Laufer y colaboradores sugirieron el acrónimo OHVIRA para proporcionar una base común para describir el síndrome y permitir la inclusión de otros trastornos uterinos y anomalías renales.5 La paciente del caso, con solo el riñón derecho, cumplió con los criterios diagnósticos de síndrome de OHVIRA, por tener hemivagina obstruida que desencadenó el piocolpos.

El síndrome de OHVIRA es una anomalía mülleriana poco común que se origina debido al desarrollo anormal del aparato reproductor. Durante la embriogénesis, el desarrollo normal de éste se inicia a las 6 semanas. Los conductos de Müller, que dan origen a las trompas de Falopio, el útero y la parte superior de la vagina cruzan los conductos de Wolff y migran hacia la línea media para fusionarse y formar el primordio úterovaginal.5 Después de la reabsorción del tabique, en el primordio úterovaginal, se desarrolla solo un conducto. En el síndrome de OHVIRA el desarrollo anormal del conducto de Wolff impide el cruce y posterior fusión de los conductos de Müller, lo que da lugar a dos cuernos uterinos, dos cuellos uterinos y dos hemivaginas.6

La falta de fusión parcial entre el conducto paramesonéfrico y el bulbo sinovaginal da lugar a la formación del tabique vaginal, que puede ubicarse en la parte superior (46%), media (40%) o inferior de la vagina (14%).6 Los conductos de Wolff dan origen a los riñones, y son inductores de la fusión correcta de los conductos müllerianos. Una alteración en el desarrollo de la porción caudal, de uno de los conductos de Wolff, puede originar agenesia renal unilateral, asociada con hemivagina obstruida ipsilateral.5,7 Por lo general, se diagnostica en niñas después de la pubertad, por la acumulación de sangre en el útero obstruido.5 Se han diagnosticado casos excepcionales en el periodo neonatal, mientras que otros casos pueden diagnosticarse en la primera infancia, secundario a problemas renales concurrentes.8 En la paciente del caso el diagnóstico se estableció a los 33 años, y posterior al estudio de pareja con infertilidad.

Zhu y colaboradores (2015),9 en su revisión retrospectiva de 79 pacientes atendidas en un lapso de 27 años, observaron una cantidad significativa de pacientes con obstrucción incompleta de la hemivagina; por lo tanto, propusieron que las pacientes se dividieran en: Clase 1 (obstrucción completa) o Clase 2 (obstrucción incompleta con la hemivagina que drena a través de una pequeña perforación).6 La proporción de Clase 1 a Clase 2 fue 24:55 y los pacientes de Clase 2 se atendieron a una edad significativamente más tardía, con menor probabilidad de endometriosis.6

Los síntomas de la hemivagina son: dolor abdominal, dismenorrea y tumoración abdominal. La hemivagina se asocia con: infertilidad, endometriosis y alteraciones menstruales y obstétricas.7,8 Esto también quedó de manifiesto en la paciente del caso, debido a que cursó con infertilidad. Por ello se resalta la importancia de complementar el estudio de la infertilidad con resonancia magnética, como complemento del diagnóstico.

El diagnóstico suele retrasarse debido a la menstruación normal a través del lado no obstruido o una microperforación y el desconocimiento de las quejas ginecológicas comunes asociadas con OHVIRA.5 La obstrucción persistente puede provocar sangrado retrógrado en la cavidad abdominal, causar endometriosis, adherencias pélvicas o infecciones.7 Estas complicaciones pueden afectar la calidad de vida de la paciente debido a la dismenorrea resultante.7

La ecografía suele indicarse como primera modalidad de diagnóstico por imágenes para evaluar niñas con dolor abdominal bajo; sin embargo, los resultados dependen del operador y pueden pasar inadvertidos para los operadores inexpertos. La resonancia magnética es la modalidad de diagnóstico recomendada para evaluar anomalías complejas del conducto de Müller. Proporciona imágenes detalladas de las estructuras de los tejidos blandos y ayuda a identificar la hemivagina obstruida, hematocolpos y anomalías renales asociadas.1 La resonancia magnética pélvica se ha convertido en el patrón de referencia para el diagnóstico y la planificación preoperatoria, la evaluación más detallada de los sistemas reproductivos y urológicos con características específicas que incluyen el grosor del tabique, su posición dentro de la vagina y el volumen.5

El diagnóstico y el tratamiento tempranos pueden prevenir la mayor distorsión de la anatomía y, por lo tanto, prevenir las adherencias pélvicas que afecten la fertilidad de la mujer en el futuro.3 El tratamiento quirúrgico conservador, que incluye la resección del tabique vaginal que produce la obstrucción, es el indicado para aliviar los síntomas y prevenir complicaciones a largo plazo, como la endometriosis, las infecciones pélvicas y la infertilidad.10

A pesar de ser una anomalía infrecuente, el síndrome de OHVIRA es de buen pronóstico reproductivo; los desenlaces obstétricos reportan que un 87% tienen un embarazo exitoso, del 23 al 35% sufren abortos, del 15 al 19% partos pretérmino y, aproximadamente, 62% de los embarazos a término transcurren sin complicaciones durante el parto.11

Las malformaciones uterinas se relacionan con abortos y partos prematuros. De acuerdo con Gholoum y colaboradores, el riesgo aumenta en estas pacientes si el embarazo es previo a la corrección quirúrgica del tabique vaginal.12 En la bibliografía se encuentran pocos reportes de pacientes embarazadas con síndrome de OHVIRA sin cirugía correctiva previa, con resección del septo vaginal. Por ello las recomendaciones de seguimiento durante el embarazo no están protocolizadas. En la paciente del caso no se hizo la corrección quirúrgica previa.

Al inicio del embarazo es importante considerar la situación de la placenta. En el útero didelfo o el septo, la separación entre ambos úteros puede originar un déficit de vascularización; por eso se recomienda que el seguimiento inicial sea cada 2 a 3 semanas.10 En el segundo trimestre, el riesgo de parto prematuro aumenta, por lo que deben hacerse mediciones de la longitud cervical para evaluarla cada 3 a 4 semanas hasta llegar a la semana 35. No existen recomendaciones específicas para la vía de finalización del embarazo.10

Las pacientes con defectos uterinos tienen mayor riesgo de complicaciones durante el embarazo y el parto: partos prematuros, fetos con bajo peso al nacer y cesáreas. Por lo tanto, cada caso debe individualizarse. Si bien la tasa de nacidos vivos reportada del 73% es prometedora, hacen falta datos más completos a largo plazo. Sin embargo, lo poco frecuente del síndrome OHVIRA plantea una limitación en cuanto a los datos de seguimiento a largo plazo de la función menstrual, la fertilidad y los desenlaces del embarazo.10

CONCLUSIONES

La paciente del caso reunió los criterios para síndrome de OHVIRA con útero didelfo, hemivagina obstruida y agenesia renal advertidos en la exploración física, en la tomografía axial computada y en la resonancia magnética durante el seguimiento ginecológico. Las más de las veces este síntoma se diagnostica en adolescentes que reúnen los datos mencionados; sin embargo, en la paciente del caso se diagnosticó en el embarazo. El caso es relevante por su asociación con un embarazo espontáneo, y por lo escasamente reportado en la bibliografía. Las pacientes con síndrome de OVHIRA tienen buen pronóstico reproductivo, como se evidencia en el caso, habiendo logrando dos embarazos espontáneos: el primero anembriónico y el segundo con finalización a término, sin complicaciones.

Referencias

  1. Elgohary MA, Naik R, Elkafafi M, Hamed H, et al. Obstructed hemivagina and ipsilateral renal anomaly (OHVIRA) syndrome: A case report. J Pediatr Surg Case Rep 2023; 95: 102662. https://doi.org/10.1016/j.epsc.2023.102662
  2. Dural O, Tas IS, Ugurlucan FG, Yasa C, et al. Unique diagnosis of Obstructed Hemivagina and Ipsilateral Renal Anomaly (OHVIRA) at the time of first-trimester ultrasound imaging. J Pediatr Adolesc Gynecol 2020; 33 (6): 748-51. https://doi.org/10.1016/j.jpag.2020.08.005
  3. Baños Cándenas L, Abehsera Davó D, de la Peña Rodríguez de Medina M, Martín Orlando J, et al. Diagnosis and gestational follow-up in a patient with Herlyn-Werner-Wünderlich syndrome. A case report. Taiwan J Obstet Gynecol 2019; 58 (4): 560-65. https://doi.org/10.1016/j.tjog.2019.05.023
  4. Castillo Lara M, De Pablo Zamora L, Pozuelo Solis E. Herlyn-Werner-Wünderlich syndrome: A case series. Clin Investig Ginecol Obstet 2024; 51 (1): 100912. https://doi.org/10.1016/j.gine.2023.100912
  5. Li L, Adeyemi-Fowode O, Bercaw-Pratt JL, Hakim J, et al. Surgical management of OHVIRA and outcomes. J Pediatr Adolesc Gynecol 2024; 37 (2): 198-204. https://doi.org/10.1016/j.jpag.2023.11.007
  6. McDougal WS, Wein AJ, Kavoussi LR, Partin AW, et al. Campbell-Walsh Urology. 11th ed. Review E-Book. Philadelphia: Elsevier Health Sciences, 2015. https://books.google.hn/books?id=RR2KCwAAQBAJ&printsec=copyright#v=onepage&q&f=false
  7. Díaz Rubia L, Milena Muñoz A, Núñez Delgado Y, Maldonado Hermoso G, et al. Síndrome de Herlyn-Werner-Wünderlich: a propósito de un caso. Clin Investig Ginecol Obstet 2020; 47 (2): 75-77. https://doi.org/10.1016/j.gine.2020.01.004
  8. Chan ES, Stefanovici C. Obstructed Hemivagina and Ipsilateral Renal Anomaly (OHVIRA). A fetal autopsy case. J Pediatr Adolesc Gynecol 2022; 35 (5): 593-96. https://doi.org/10.1016/j.jpag.2022.02.003
  9. Zhu L, Chen N, Tong JL, Wang W, et al. New Classification of Herlyn-Werner-Wunderlich Syndrome. Chinese Medical Journal 2015; 128 (2): 222-25. https://doi.org/10.4103/0366-6999.149208
  10. Bonetti E, Anderson G, Duranti S, Ferrari F, et al. Clinical features and surgical options of obstructed hemivagina and ipsilateral renal agenesis (OHVIRA) syndrome: A systematic review and a meta-analysis of prevalence. Intl J Gynecology Obste 2025; 00 (1): 1-13. https://doi.org/10.1002/ijgo.70164
  11. Del Vescovo R, Battisti S, Di Paola V, Piccolo CL, et al. Herlyn-Werner-Wunderlich syndrome: MRI findings, radiological guide (two cases and literature review), and differential diagnosis. BMC Med Imaging 2012; 12 (1). https://doi.org/10.1186/1471-2342-12-4
  12. Gholoum S, Puligandla PS, Hui T, Su W, et al. Management and outcome of patients with combined vaginal septum, bifid uterus, and ipsilateral renal agenesis (Herlyn-Werner-Wunderlich syndrome). Pediatr Surg 2006; 41 (5): 987-92. https://doi.org/10.1016/j.jpedsurg.2006.01.021
Enviar un comentario

Te puede interesar