Información exclusiva para profesionales de la salud
← Volver al número Ver PDF

Diagnóstico prenatal de anemia de Fanconi con translucencia nucal aumentada

Prenatal diagnosis of Fanconi anemia with increased nuchal translucency.



RESUMEN

Antecedentes: La anemia de Fanconi es una enfermedad genética de baja frecuencia, con un patrón de herencia autosómica recesiva, asocida con defectos en genes encargados de la reparación del ADN (FANCA, FANCC, FANCD2). La translucencia nucal es un marcador ecográfico del primer trimestre y tamizaje para aneuploidias y anomalías estructurales, como la anemia de Fanconi.

Caso clínico: Paciente de 32 años, con 13.3 semanas de gestación, sin antecedentes patológicos relevantes. En la evaluación del primer trimestre la traslucencia nucal se advirtió aumentada (3.9 mm). La biopsia de vellosidades coriónicas, con análisis citogenético mediante microarreglos, reportó una deleción en heterocigosis de 73.6 Kb en la región 16q24.3 del gen FANCA, asociada con anemia de Fanconi.

Conclusión: La evaluación ultrasonográfica temprana permite identificar marcadores que pueden asociarse con alteraciones estructurales o genéticasy practicar estudios complementarios para diagnóstico y tratamiento tempranos.

Palabras clave: Ultrasonido del primer trimestre, traslucencia nucal, anemia de Fanconi, biopsia de vellosidades coriónicas, microarreglos

ABSTRACT

Background: Fanconi anemia is a rare genetic disorder with an autosomal recessive inheritance pattern. It is associated with defects in genes responsible for DNA repair, such as FANCA, FANCC, and FANCD2. Nuchal translucency is a first-trimester ultrasound screening test for aneuploidies and structural abnormalities such as Fanconi anemia.

Clinical case: A 32-year-old patient with no relevant medical history and 13.3 weeks of pregnancy. During the first-trimester evaluation, increased nuchal translucency (3.9 mm) was noted. Chorionic villus sampling with cytogenetic analysis using microarrays reported a heterozygous deletion of 73.6 kb in the 16q24.3 region of the FANCA gene, which is associated with Fanconi anemia.

Conclusion: Early ultrasound evaluation allows identification of markers associated with structural or genetic abnormalities, enabling the performance of complementary studies for early diagnosis and treatment.

Keywords: First trimester ultrasound, Nuchal translucency, Fanconi anemia, Chorionic villus biopsy, Microarrangements


ANTECEDENTES

La anemia de Fanconi es una enfermedad genética, de excepcional frecuencia, con un patrón de herencia autosómica recesiva, con afectación a la médula ósea. Se caracteriza por pancitopenia progresiva, malformaciones congénitas y predisposición a neoplasias. Fue descrita en 1927 por el médico suizo Guido Fanconi. Afecta diversos órganos, con anomalías físicas y hematológicas.1,2

La fisiopatología de la anemia de Fanconi se asocia con defectos en genes encargados de la reparación del ADN (FANCA, FANCC, FANCD2), lo que provoca inestabilidad genómica. La prevalencia global estimada es de 1 caso por cada 350,000 a 500,000 nacidos vivos, con variaciones según la población.3

El diagnóstico se establece con base en estudios genéticos, mediante biopsia de vellosidades coriónicas o amniocentesis durante el embarazo.1 En el contexto global de las técnicas de fertilización asistida, el diagnóstico previo a la implantación representa un método útil para el diagnóstico y tratamiento tempranos.2

La translucencia nucal es un marcador ecográfico del primer trimestre, que se practica para el tamizaje de aneuploidias y anomalías estructurales. Se considera aumentada si supera los 2.5 a 3.5 mm, y puede encontrarse en padecimientos genéticos de baja frecuencia, entre ellos la anemia de Fanconi.4

CASO CLÍNICO

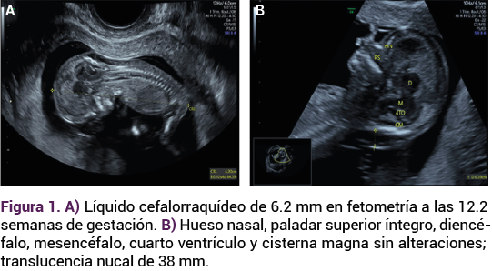
Paciente de 32 años, con antecedente de dos embarazos y una cesárea, indicada por macrosomía fetal, el actual en curso de las 13.3 semanas, por fecha de la última menstruación, con dos consultas de control prenatal, consumo de multivitamínicos, sin infecciones urinarias y vaginales. Sin recuerdo de problemas patológicos. El ultrasonido del primer trimestre reportó: feto único vivo, con frecuencia cardiaca de 163 lpm, con movimientos, placenta anterior corporal, inserción central del cordón umbilical, bolsillo mayor de líquido amniótico de 3.43 cm, longitud craneocaudal (LCC) de 6.20 mm para 12.2 semanas de gestación; translucencia nucal de 39 mm (Figura 1). La ecografía Doppler: IP de ductus venoso de 1.23, IP de arterias uterina derecha e izquierda 0.81 y 1.20, respectivamente. Anatomía fetal, situs solitus, burbuja gástrica, riñones y vejiga sin alteraciones demostrables lo mismo que la anatomía cardiaca.

<strong>Figura 1</strong>
Figura 1.

El cálculo para aneuploidias estimó un riesgo ajustado para trisomía 13 de 1:35; trisomía 18 1:7; trisomía 21 1:3 (Figura 2).

<strong>Figura 2</strong>
Figura 2.

La biopsia de vellosidades coriales (Figura 3) para diagnóstico citogenético de microarreglos CGH prenatal, con análisis de 500 nanogramos de ADN genómico purificado de células de tejido fetal, y con datos clínicos de translucencia nucal aumentada. El ADN fetal se marcó con fluorescencia y se comparó con un ADN de control de referencia, se hibridó con un microarreglo genómico humano (Agilent, AMADID code#31746 hg19) mediante hibridación genómica comparativa (aCGH). Las variantes de número de copias (CNVs) se compararon con una base de datos del laboratorio, y con las bases de datos genéticas (OMIM, DECIPHER, DGV, ClinGen, ClinVar, GenCC, DDG2P), con referencia a las condiciones clínicas de la paciente.

<strong>Figura 3</strong>
Figura 3.

El cariotipo femenino se reportó normal. Se identificó una deleción en heterocigosis de 73.6 kb en la región 16q24.3 dentro del gen FANCA (exones del número 4 al 37 de un total de 53), mutaciones o deleciones que afectan a los dos alelos del gen que se asocia con anemia de Fanconi. El feto es portador de una mutación en una sola copia y, por lo tanto, es insuficiente para originar la enfermedad. Se analizó a los padres mediante microarreglos para establecer si eran portadores de la deleción detectada, o bien ésta es “de-novo”. El cariotipo molecular completo se encuentra en la Figura 4.

<strong>Figura 4</strong>
Figura 4.

El embarazo se llevó a término, mediante cesárea por decisión de la madre, con obtención de un recién nacido sin alteraciones anatómicas aparentes.

DISCUSIÓN

La translucencia nucal aumentada (≥ 3.5 mm), diagnosticada en el primer trimestre, no solo representa un indicador clínico para las aneuploidias más frecuentes, sino tambien para identificar alteraciones genéticas menos comunes.5 En gestaciones con translucencia nucal aumentada y cariotipo normal, la aplicación de nuevas técnicas moleculares, como los microarreglos, ha permitido el establecimiento de diagnósticos más precisos.5-8 Incluso ha demostrado gran valor diagnóstico en reportes con translucencia nucal moderadamente aumentada.9

La anemia de Fanconi, aunque poco frecuente en el contexto prenatal, es un síndrome genético grave caracterizado por inestabilidad genómica y defectos en la reparación del ADN. Un caso documentado describe un feto con translucencia nucal aumentada en el estudio del primer trimestre, con restricción del crecimiento y alteraciones en el sistema nervioso central durante la evaluación del segundo trimestre y con cariotipo normal. El diagnóstico de anemia de Fanconi se estableció luego de una manifestación clínica posnatal con anemia aguda, hipotonía y un tumor en el riñón.10 En el caso aquí reportado, la deleción identificada y que caracterizaba al paciente con una mutación en una sola copia fue un hallazgo, pues el diagnóstico no se sospechó. Se solicitó el estudio de microarreglos por la translucencia nucal aumentada y para descartar otro diagnóstico más probable.

La evidencia sugiere que, si bien la anemia de Fanconi es muy poco frecuente en el periodo fetal, la translucencia nucal elevada, incluso en un cariotipo normal, debe motivar a una evaluación más amplia que incluya técnicas moleculares más precisas y de forma dirigida, pruebas funcionales o genéticas más específicas para anemia de Fanconi, cuando existan hallazgos ecográficos sugerentes o antecedentes familiares. Esto permite una identificación más temprana y precisa optimizando el asesoramiento genético y la atención médica prenatal.

CONCLUSIONES

El caso reportado hace hincapié en el valor de la translucencia nucal como marcador no solo de aneuploidias, sino también de síndromes genéticos poco frecuentes en fetos con cariotipo normal. La identificación temprana de un aumento en la translucencia nucal debe orientar al clínico hacia la ampliación diagnóstica con otras técnicas moleculares: microarreglos y un protocolo de seguímiento ecográfico estructurado a lo largo del control prental. La anemia de Fanconi, aunque excepcional en el periodo prenatal, debe contemplarse como parte del diagnóstico diferencial. Este enfoque permite optimizar el consejo genético, anticipar posibles complicaciones y ofrecer una atención médica multidisciplinaria integral a las familias.

Referencias

  1. Auerbach AD. Fanconi anemia and its diagnosis. Genes & Development 2009; 23 (19): 1921-32. https://doi.org/10.1016/j.mrfmmm.2009.01.013
  2. Ghosal K, Agatemor C, Han RI, Ku AT, et al. Fanconi Anemia DNA Repair Pathway as a New Mechanism to Exploit Cancer Drug Resistance. Mini Rev Med Chem 2020; 20 (9): 779-787. https://doi.org/10.2174/1389557520666200103114556
  3. Tischkowitz MD, Hodgson SV. Fanconi anemia. J Med Genetics 2003; 40: 1-10. https://doi.org/10.1136/jmg.40.1.1
  4. Nicolaides KH. Nuchal translucency and other first trimester sonographic markers of chromosomal abnormalities. Am J Obstet Gynecol 2004; 191: 45-67. https://doi.org/10.1016/j.ajog.2004.03.090
  5. Cicatiello R, Pignataro P, Izzo A, Mollo N, et al. Chromosomal microarray analysis versus karyotyping in fetuses with increased nuchal translucency. Med Sci (Basel) 2019; 7 (3): 40. https://doi.org/10.3390/medsci7030040
  6. Su L, Huang H, An G, Cai M, et al. Clinical application of chromosomal microarray analysis in fetuses with increased nuchal translucency and normal karyotype. Mol Genet Genomic Med 2019; 7 (8): e811. https://doi.org/10.1002/mgg3.811
  7. Pan M, Han J, Zhen L, Yang X, et al. Prenatal diagnosis of fetuses with increased nuchal translucency using an approach based on quantitative fluorescent polymerase chain reaction and genomic microarray. Eur J Obstet Gynecol Reprod Biol 2016; 197: 164-67. https://doi.org/10.1016/j.ejogrb.2015.12.024
  8. Lund IC, Christensen R, Petersen OB, Vogel I, et al. Chromosomal microarray in fetuses with increased nuchal translucency. Ultrasound Obstet Gynecol 2015; 45 (1): 95-100. https://doi.org/10.1002/uog.14726
  9. Zhang Z, Hu T, Wang J, Li Q, et al. Prenatal diagnostic value of chromosomal microarray in fetuses with nuchal translucency greater than 2.5 mm. Biomed Res Int 2019; 2019: 6504159. https://doi.org/ 10.1155/2019/6504159
  10. Tercanli S, Miny P, Siebert MS, Hösli I, et al. Fanconi anemia associated with increased nuchal translucency detected by first-trimester ultrasound. Ultrasound Obstet Gynecol 2001; 17 (2): 160-2. https://doi.org/10.1046/j.1469-0705.2001.00321.x
  11. Faivre L, Guardiola P, Lewis C, Dokal I, et al. Association of complementation group and mutation type with clinical outcome in Fanconi anemia. European Fanconi Anemia Research Group. Blood 2000; 96 (13): 4064-70. PMID: 11110674
  12. Souka A, Von-Kaisenberg C, Hyett J, Sonek J, Nicolaides K. Increased nuchal translucency with normal karyotype. Am J Obstet Gynecol 2005; 192(4):1005-1021. https://doi.org/10.1016/j.ajog.2004.12.093
Enviar un comentario

Te puede interesar